Chipped Tooth: Causes, Treatment, Repair
Learn about chipped tooth causes, symptoms, treatments, and prevention strategies to restore your smile safely.

A
chipped tooth
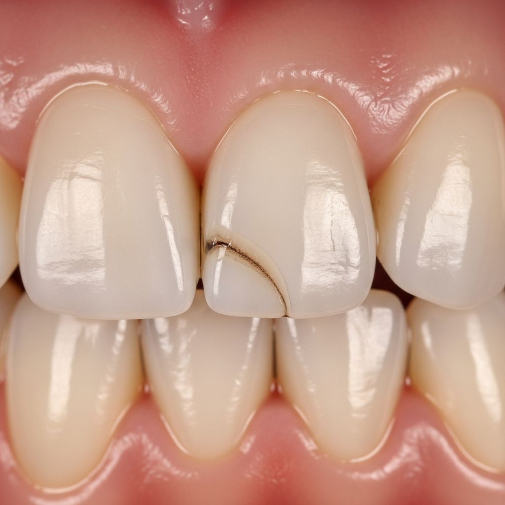
occurs when the hard enamel outer layer of a tooth breaks away, often due to trauma, decay, or wear. While minor chips may cause little discomfort, larger ones can lead to pain, sensitivity, and complications if untreated. Prompt dental care restores function and appearance, preventing further damage.What Is a Chipped Tooth?
Enamel, the toughest substance in the human body, protects teeth from daily wear. However, it has limits. A chipped tooth features a jagged edge that can irritate gums, tongue, or cheeks. Chips range from tiny fractures visible only under magnification to large breaks exposing dentin or pulp. Front teeth often chip from impacts, while molars suffer from chewing pressure. Weakened teeth, like those with fillings or decay, are most vulnerable, particularly the second lower molar.
Symptoms of a Chipped Tooth
Symptoms vary by chip size and location. Minor rear chips might go unnoticed, but common signs include:
- Jagged surface felt by tongue
- Gum or tongue irritation from sharp edges
- Pain or sensitivity when biting, especially if nerves are exposed
- Visible damage affecting smile aesthetics
- Increased sensitivity to hot, cold, or sweets if dentin is reached
Severe chips may cause throbbing pain, swelling, or fever if infection sets in.
Causes of a Chipped Tooth
Chipped teeth stem from various factors weakening enamel or applying force.
Trauma and Accidents
Falls, sports injuries, car accidents, or blows to the face commonly chip teeth. Contact sports without mouthguards heighten risk, as do playground mishaps or workplace incidents.
Poor Oral Hygiene and Decay
Plaque buildup from infrequent brushing erodes enamel, making teeth brittle. Decay creates weak spots prone to chipping during normal biting.
Bad Habits
Using teeth to open bottles, biting nails, ice, or hard candies applies undue stress. Grinding (bruxism) or clenching also contributes over time.
Structural Weaknesses
Large fillings, previous restorations, or age-related enamel thinning increase susceptibility. Chewing on hard foods like nuts or popcorn kernels can crack compromised teeth.
Risk Factors
Certain individuals face higher odds:
- Participation in high-impact sports without protection
- History of dental work or decay
- Bruxism or poor enamel from acid erosion
- Children and young adults due to active lifestyles
- Neglect of routine dental visits
Diagnosis
Dentists diagnose via visual exam, patient history of trauma, and symptoms. X-rays detect hidden cracks or pulp involvement. No advanced imaging is usually needed for superficial chips.
Treatment for Chipped Teeth
Treatment depends on chip extent, location, and symptoms. Minor cases need smoothing; severe ones require restoration. See a dentist promptly to avoid infection, though it’s rarely an emergency unless pain is extreme.
Minor Chips
- Smoothing/Enameloplasty: Filing rough edges and polishing. Quick, inexpensive ($100).
- Recontouring: Reshaping for aesthetics and comfort.
Moderate Chips
- Dental Bonding: Tooth-colored resin fills the chip, hardened with light, and shaped. Lasts 3-10 years; costs $100-$1,000.
- Fillings/Replacement: For decay-related chips.
Severe Chips
- Veneers: Thin porcelain shells cover front chips. Durable, natural look; $500-$2,000.
- Onlays/Inlays: Partial crowns for molars; $500-$2,000.
- Crowns: Full caps for extensive damage, protecting the tooth. Requires two visits.
Advanced Cases
- Root Canal: If pulp is exposed/infected, removes nerve and seals tooth.
- Extraction/Implant: Rare, for irreparable damage.
Treatment costs vary: bonding ($100-$1,000), veneers/onlays ($500-$2,000), crowns higher. Insurance often covers part.
Self-Care for Chipped Tooth
While awaiting dental care:
- Cover sharp edge with dental wax, sugar-free gum, or temporary filling kit.
- Avoid chewing on affected side; stick to soft foods.
- Rinse with warm saltwater to clean.
- Take ibuprofen for pain/swelling; apply ice externally.
- Use clove oil for gum numbing.
- Wear mouthguard for sports or nighttime grinding.
Never ignore chips, as bacteria can enter exposed areas.
Complications if Untreated
Neglect risks:
- Infection/abscess needing root canal.
- Further fractures or tooth loss.
- Nerve exposure causing severe pain/sensitivity.
- Alignment issues from uneven bite.
- Gum disease from food trapping
Recovery and Outlook
Recovery is swift: bonding/crowns heal in days; full restoration in weeks. Most chips repair successfully, restoring bite and smile. Maintain with hygiene to prolong results.
Prevention Tips
Avoid chips by:
- Wearing mouthguards in sports.
- Brushing twice daily, flossing, using fluoride toothpaste.
- Avoiding hard/chewy foods, teeth-as-tools habits.
- Scheduling biannual dental check-ups for early detection.
- Managing bruxism with night guards.
Costs of Chipped Tooth Treatment
| Treatment | Cost Range |
|---|---|
| Smoothing | $100 |
| Bonding | $100-$1,000 |
| Veneers/Onlays | $500-$2,000 |
| Crowns | $800-$3,000 |
Costs depend on complexity, materials, location.
Frequently Asked Questions (FAQs)
Is a chipped tooth a dental emergency?
Not usually, unless severe pain, swelling, or bleeding occurs. See dentist soon.
How long does chipped tooth repair take?
Minor fixes: one visit. Crowns: two visits over weeks.
Can a chipped tooth heal itself?
No, enamel doesn’t regenerate. Professional repair needed.
What if I swallow the chip piece?
Usually harmless; monitor digestion. Save piece for possible reattachment.
Does insurance cover chipped tooth treatment?
Often yes for medically necessary fixes; cosmetic varies.
References
- Chipped Tooth: Causes, Treatments, and Prevention — Urban Smiles Chicago. 2023. https://urbansmileschicago.com/guide-to-chipped-tooth/
- Chipped Tooth: Causes, Treatment, Recovery — Healthline (Medically reviewed by Christine Frank, DDS). 2018-12-07. https://www.healthline.com/health/chipped-tooth
- Chipped Tooth — Go2Dental. 2024. https://ohl.go2dental.com/content?cli=bluekc&a=36&sm=24&lang=en
Read full bio of medha deb









