Keratoelastoidosis Marginalis: Clinical And Histology Guide
Detailed pathology of keratoelastoidosis marginalis: clinical features, histology, and differential diagnosis of this solar elastotic dermatosis.

Keratoelastoidosis marginalis pathology
Keratoelastoidosis marginalis presents as symmetric, hyperkeratotic, linear plaques along the lateral aspects of the hands.
Introduction
Keratoelastoidosis marginalis (KEM), also known as keratoelastoidosis marginalis of the hands (KEMH), digital papular calcific elastosis, or degenerative collagenous plaques of the hands, is a rare acquired dermatosis classified within the spectrum of marginal keratodermas and solar elastotic disorders. This condition primarily manifests as asymptomatic, slowly progressive, white-to-yellowish waxy papules or plaques arranged linearly along the margins of the hands, with characteristic involvement of the radial side of the index finger, the first web space, and the ulnar side of the thumb.
It predominantly affects middle-aged to elderly individuals, particularly those with outdoor occupations involving prolonged ultraviolet (UV) radiation exposure, such as farmers, and heavy manual labor leading to repeated trauma. Unlike hereditary forms of marginal papular acrokeratodermas, KEM shows no familial pattern and is strongly linked to environmental cumulative damage rather than genetic predisposition. The disorder belongs to the broader group of palmoplantar keratodermas of the marginal type, distinguished by its epidermal hyperkeratosis and dermal elastotic changes.
Clinically, lesions begin as discrete keratotic papules that coalesce over time into linear plaques, often exhibiting a crateriform or scaly appearance. Associated signs of chronic photodamage, such as leathery skin, deep wrinkles, solar elastosis on the face, and cutis rhomboidalis nuchae on the neck, are commonly observed in affected patients. While typically asymptomatic, the cosmetic disfigurement and progression can impact quality of life, though it remains benign and non-malignant.
Histology
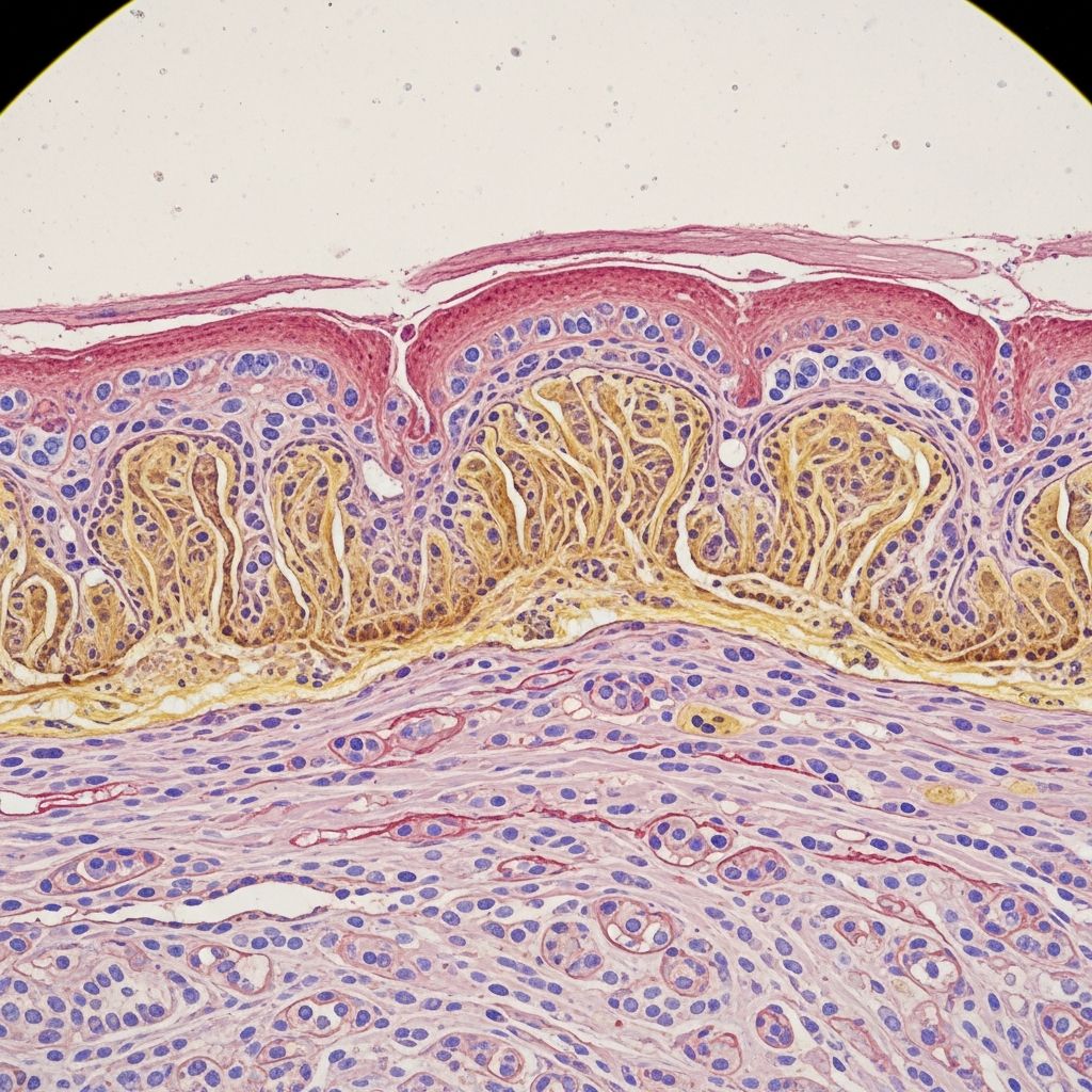
Histopathological examination of KEM reveals a combination of epidermal and dermal alterations reflective of chronic actinic damage and mechanical stress. Key epidermal features include compact hyperkeratosis (orthokeratotic), acanthosis (epidermal thickening), and effacement of the rete ridge pattern. The stratum corneum shows pronounced thickening without parakeratosis or features suggestive of actinic keratosis, such as atypical keratinocytes.
In the dermis, hallmark findings consist of thickened, acellular collagen bundles that are haphazardly oriented, often with basophilic degeneration and surrounding retraction artifacts. There is prominent solar elastosis, characterized by fragmented, degenerated elastic fibers that may clump into elastotic masses, occasionally with calcification. Dilated blood vessels in the papillary dermis and a mild perivascular lymphocytic infiltrate may be present, though inflammation is typically sparse.
- Epidermal changes: Compact orthohyperkeratosis, acanthosis, loss of rete ridges.
- Dermal changes: Thick collagen bundles (degenerated, clumped), solar elastosis with fragmented elastic fibers ± calcification, vascular dilation.
- Absences: No significant atypia, minimal inflammation, no elastorrhexis (unlike hereditary forms).
Microscopic images typically show these features prominently: hyperkeratotic epidermis overlying a dermis with eosinophilic collagen clumps and blue-gray elastotic material on H&E stain. The subcutaneous tissue may exhibit similar degenerative changes in advanced cases.
Special studies
Special stains enhance the characterization of dermal components in KEM. Verhoeff-Van Gieson (elastic stain) highlights thickened, fragmented, and haphazardly arranged elastic fibers throughout the dermis, often forming irregular masses with reduced overall elasticity. Goldner’s trichrome stain accentuates the degenerated collagen bundles, demonstrating their clumped, hyalinized appearance without calcification in some cases.
Elastic stains confirm a reduction in normal elastic fibers, with residual fibers appearing disorganized or aggregated into elastotic masses, distinguishing this from pure dermal elastosis. No immunohistochemical markers are specific, but these histochemical studies are crucial for confirming the elastotic nature and ruling out differentials. In cases with calcification, von Kossa stain may demonstrate calcium deposits within elastotic material.
| Stain | Findings in KEM | Purpose |
|---|---|---|
| H&E | Hyperkeratosis, acanthosis, thick collagen, elastotic masses ± calcification | Primary diagnosis |
| Verhoeff-Van Gieson | Fragmented, clumped elastic fibers | Elastic tissue assessment |
| Goldner’s trichrome | Degenerated collagen bundles | Collagen degeneration |
Differential diagnoses
The differential diagnosis of KEM includes other marginal papular acrokeratodermas, primarily hereditary forms and other solar degenerations. Key distinctions are based on clinical distribution, histopathology, and etiology.
| Condition | Clinical Features | Histology | Etiology |
|---|---|---|---|
| Keratoelastoidosis marginalis (KEM) | Hands margins (index finger radial, thumb ulnar, web space); elderly, outdoor workers | Hyperkeratosis, acanthosis, solar elastosis, degenerated collagen/elastin ± calcification | Acquired (UV + trauma) |
| Acrokeratoelastoidosis of Costa | Hands/feet margins, pearly papules; any age | Hyperkeratosis, elastorrhexis (elastic fiber fragmentation) | Hereditary |
| Focal acral hyperkeratosis (FAH) | Acral margins, no coalescence; younger adults | Hyperkeratosis, no elastorrhexis or elastosis | Hereditary |
| Punctate palmoplantar keratoderma | Scattered punctate lesions on palms/soles | Epidermal hyperplasia, no dermal elastosis | Hereditary or acquired |
| Dermal elastosis | Diffuse photodamaged skin | Homogeneous elastotic material, no epidermal changes |
KEM is differentiated from hereditary acrokeratoelastoidosis by the absence of true elastorrhexis and presence of solar elastosis/calcification; FAH lacks dermal changes. Dermal elastosis is distinguished by dense fibroplasia and linear hand margin distribution.
Management
KEM is chronic and progressive, with limited response to therapy. Topical keratolytics (e.g., urea, salicylic acid), emollients, and corticosteroids may provide symptomatic relief but do not halt progression. Cryotherapy, laser ablation, or surgical excision can be considered for localized plaques, though recurrence is common due to ongoing environmental exposure. Sun protection (broad-spectrum sunscreen, protective gloves) is essential for prevention of worsening in at-risk individuals.
Frequently Asked Questions (FAQs)
What causes keratoelastoidosis marginalis?
Prolonged UV exposure combined with mechanical trauma from manual labor, primarily in outdoor workers like farmers.
Is keratoelastoidosis marginalis hereditary?
No, it is an acquired condition without familial association, unlike acrokeratoelastoidosis of Costa.
How is it diagnosed?
Based on characteristic clinical linear plaques on hand margins plus histopathology showing hyperkeratosis and dermal elastosis.
Can it be treated effectively?
It is difficult to treat; topical therapies offer limited relief, and prevention via sun protection is key.
Who is at risk?
Middle-aged to elderly individuals with fair skin and occupational sun/manipulative hand exposure.
References
- Keratoelastoidosis marginalis of the hands: A report in two farmers — PMC/NCBI. 2016-06-01. https://pmc.ncbi.nlm.nih.gov/articles/PMC4886595/
- Keratoelastoidosis marginalis pathology — DermNet NZ. 2013. https://dermnetnz.org/topics/keratoelastoidosis-marginalis-pathology
- Keratoelastoidosis marginalis of the hands: A distinct form of palmoplantar keratoderma — Cureus. 2024. https://www.cureus.com/articles/312175-keratoelastoidosis-marginalis-of-the-hands-a-distinct-form-of-palmoplantar-keratoderma.pdf
- Keratoelastoidosis marginalis — PubMed. 2002-03-01. https://pubmed.ncbi.nlm.nih.gov/11896420/
- Keratoelastoidosis Marginalis — DoveMed. Accessed 2026. https://www.dovemed.com/diseases-conditions/keratoelastoidosis-marginalis
Read full bio of medha deb








